Dr. Barbara Vogtner, Spezialistin für Prothetik in Ingolstadt

Prothetik

Zahnersatz, der nicht
wie Zahnersatz aussieht.

Das ist das Ziel. Nicht "gut genug". Nicht "man sieht's kaum". Sondern: Man sieht es nicht. Und es fühlt sich an, als wären es immer Ihre eigenen Zähne gewesen.

Beratungsgespräch vereinbaren

Wann ist das der richtige Schritt?

Viele Patienten warten länger als nötig.

Weil sie nicht wissen, was möglich ist. Oder weil sie schlechte Erfahrungen gemacht haben. Das verstehen wir. Deshalb beginnt jede Behandlung bei uns mit einem ehrlichen Gespräch – ohne Druck, ohne Verkauf.

Zähne, die sich verändert haben

Jahrelanges Knirschen, Abrieb, alte Füllungen die nicht mehr passen. Die Zähne sehen nicht mehr aus wie früher – und das merkt man selbst beim Lächeln.

Lücken und fehlende Zähne

Ein fehlender Zahn ist nicht nur ästhetisch. Die Nachbarzähne kippen, der Knochen baut ab. Je früher man handelt, desto einfacher die Lösung.

Alter Zahnersatz, der nicht mehr passt

Kronen oder Brücken aus einer anderen Zeit. Unbequem, optisch nicht mehr zeitgemäß, oder einfach nicht mehr funktional. Wir ersetzen sie durch etwas, das wirklich sitzt.

Dr. Barbara Vogtner, Spezialistin für Prothetik

Die Spezialistin

Dr. Barbara Vogtner

Dr. Barbara Vogtner ist Spezialistin für Zahnärztliche Prothetik. Das bedeutet: Sie hat sich nach dem Studium gezielt auf dieses Fachgebiet spezialisiert – auf die Planung, Gestaltung und Umsetzung von Zahnersatz, der funktioniert und aussieht wie natürliche Zähne.

Sie plant jeden Zahnersatz digital, stimmt Farbe und Form auf Ihre Gesichtsproportionen ab und fertigt Provisorien direkt in unserem eigenen 3D-Labor. So können Sie das Ergebnis testen, bevor es endgültig ist.

Bei komplexen Fällen arbeitet sie direkt mit Dr. Andreas Vogtner zusammen – Chirurgie und Prothetik aus einer Hand, aufeinander abgestimmt.

Für Patienten, bei denen alle oder fast alle Zähne fehlen, bieten wir Feste Zähne an einem Tag – Chirurgie und Prothetik aus einer Hand.

"Ich merke, wann ein Patient zum ersten Mal wieder ungehemmt lacht. Das ist der Moment, für den wir arbeiten."

Dr. Barbara Vogtner

Spezialistin für Zahnärztliche Prothetik

Dr. Barbara Vogtner beim digitalen Intraoral-Scan

Wie wir arbeiten

Kein Abdruck mehr. Alles digital.

Statt eines klassischen Abdrucks mit Abformmasse scannt Dr. Barbara Vogtner den Mund direkt mit einem Intraoral-Scanner. Das Ergebnis ist ein präzises 3D-Modell – in Echtzeit, auf dem Bildschirm sichtbar.

Das macht die Planung genauer, die Kommunikation mit dem Labor einfacher und die Behandlung für den Patienten angenehmer. Kein Würgereiz, keine Wartezeit auf Gipsmodelle.

Auf Basis des Scans entsteht das digitale Behandlungskonzept – bevor auch nur ein Zahn präpariert wird.

Ein echter Fall

Frontzahnrekonstruktion mit Keramikversorgung

Verfärbungen, unregelmäßige Formen, ein Zahn der sich deutlich von den anderen abhebt. Für die Patientin war das Lächeln seit Jahren ein Thema – etwas, das sie lieber verdeckt hat.

Vorher: Frontzähne vor der Behandlung

Vorher

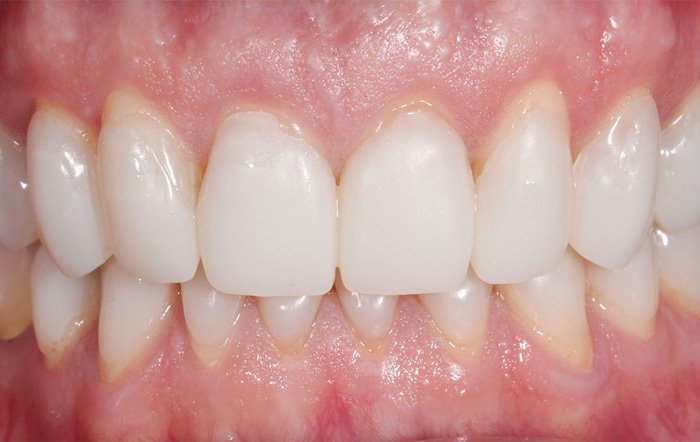
Nachher: Frontzähne nach der Behandlung

Nachher

Ausgangslage

Stark verfärbte Frontzähne, unregelmäßige Zahnformen, ein Zahn mit auffälliger Altversorgung. Die Patientin wünschte sich ein gleichmäßiges, natürliches Lächeln.

Behandlung

Digitale Planung der neuen Zahnform. 3D-gedrucktes Provisorium zum Testen. Anschließend Versorgung mit Vollkeramikkronen – abgestimmt auf die natürliche Zahnfarbe der Patientin.

Ergebnis

Gleichmäßige, natürlich wirkende Frontzähne. Die Patientin erkannte ihre eigenen Zähne kaum wieder – im besten Sinne.

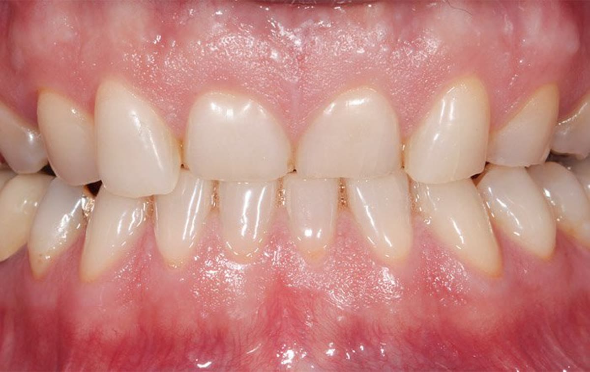
Patientenfall 2

Rekonstruktion eines Abrasionsgebisses mit Vollkeramikkronen

Jahrelanges Knirschen hinterlässt Spuren. Die Schneidezähne waren bereits um die Hälfte abgeknirscht, im Seitenzahngebiet starke Gebrauchsspuren, abgesplitterte Keramik. Das Ergebnis: eine Fehlbissstellung, die sich nur durch eine Komplettrekonstruktion beheben ließ.

Vorher: Abgeknirscht Zähne

Vorher

Nachher: Vollkeramikkronen

Nachher

Behandlungsschritt Vollkeramik-Krone Dr. Vogtner
Behandlungsschritt Vollkeramik-Krone Dr. Vogtner

Ausgangslage

Starker Zahnabrieb durch jahrelanges Knirschen. Schneidezähne um die Hälfte abgeknirscht, abgesplitterte Keramik, Fehlbissstellung. Eine Komplettrekonstruktion war die einzige dauerhafte Lösung.

Behandlung

Neue Bisshöhe definiert und mit Testschiene verifiziert. Physiotherapeutische Begleitung zur Gewöhnung. Konservierung der neuen Bisssituation mit zahnfarbener Dauerschiene. Abschließend Versorgung mit Vollkeramik-Einzelkronen.

Ergebnis

Stabile Bisssituation, vollständig rekonstruiertes Gebiss. Vollkeramikkronen, die optisch nicht von natürlichen Zähnen zu unterscheiden sind.

Patientenfall 3

Oberkiefer-Komplettversorgung: Wenn Chirurgie und Prothetik zusammen müssen

Patientin, 70 Jahre. Der Unterkiefer war bereits versorgt. Im Oberkiefer: alter Zahnersatz, mehrere Zähne nicht mehr erhaltungswürdig, freiliegende Zahnhälse, Rezessionen an den Seitenzähnen. Ästhetisch einer der schwierigsten Fälle – weil Chirurgie und Prothetik von Anfang an gemeinsam geplant werden müssen.

Vorher: Oberkiefer mit altem Zahnersatz, Rezessionen

Vorher

Nachher: Neue Kronen, Rezessionsdeckung, natürliches Lächeln

Nachher

Warum dieser Fall nur im Team funktioniert

Drei Implantate im Oberkiefer. Bindegewebstransplantate an den Seitenzähnen, um freiliegende Zahnhälse abzudecken. Neue Kronen auf den verbliebenen eigenen Zähnen und auf den Implantaten. Das ist kein Fall, den man nacheinander abarbeitet – Chirurgie und Prothetik müssen von Anfang an gemeinsam planen.

Dr. Andreas Vogtner hat die chirurgischen Eingriffe übernommen: Implantation und Rezessionsdeckung. Dr. Barbara Vogtner hat die prothetische Versorgung geplant und umgesetzt. Beide haben von Anfang an zusammengearbeitet – das ist der Unterschied zu einer Praxis, in der Chirurg und Zahnarzt einander nicht kennen.

Chirurgie

Dr. Andreas Vogtner

MSc Parodontologie & Implantologie, ITI Diploma

Prothetik

Dr. Barbara Vogtner

Spezialistin für Zahnärztliche Prothetik

Ausgangslage

Oberkiefer mit altem Zahnersatz. Mehrere Zähne nicht mehr erhaltungswürdig. Rezessionen an den Seitenzähnen (freiliegende Zahnhälse). Ästhetisch und funktionell kompromittiert – der Unterkiefer war bereits neu versorgt, der Oberkiefer passte nicht mehr dazu.

Behandlung

Entfernung nicht erhaltungswürdiger Zähne. Drei Implantate im Oberkiefer. Bindegewebstransplantate zur Rezessionsdeckung an den Seitenzähnen. Vorbehandlung mit Langzeitprovisorien zur Gewebeformung. Abschließend neue Kronen auf eigenen Zähnen und Implantaten. Behandlungsdauer: ca. 1 Jahr.

Ergebnis

Gleichmäßige, natürlich wirkende Keramikversorgung im Oberkiefer. Gesundes Zahnfleisch, keine freiliegenden Zahnhälse mehr. Ober- und Unterkiefer passen jetzt zusammen – ästhetisch und funktionell.

Patientenfall 4

Ästhetisch schwieriger Fall: Komplettversorgung mit Keramik

Stark abgenutzte, verschobene und verfärbte Zähne. Unregelmäßige Zahnlängen, freiliegende Zahnhälse, ein Lächeln das die Patientin seit Jahren verdeckt hat. Ästhetisch einer der anspruchsvollsten Fälle – weil jede Abweichung sofort sichtbar ist.

Ausgangslage

Stark abgenutzte und verschobene Zähne, freiliegende Zahnhälse, unregelmäßige Zahnlängen. Ästhetisch und funktionell kompromittiert – ein Fall, bei dem Planung und Ausführung präzise aufeinander abgestimmt sein müssen.

Behandlung

Digitale Planung der neuen Zahnform und -position. 3D-gedruckte Provisorien zum Testen über mehrere Wochen. Schrittweise Umsetzung mit vollkeramischen Versorgungen – abgestimmt auf Gesichtsform und natürliche Zahnfarbe.

Ergebnis

Gleichmäßige, natürlich wirkende Keramikversorgung. Die Patientin kann wieder ungehemmt lächeln – ohne dass man sieht, dass es Zahnersatz ist.

Was wir anbieten

Für jeden Bedarf die richtige Lösung.

Zahnkronen

Wenn ein Zahn stark beschädigt ist, aber die Wurzel noch gesund, überkronen wir ihn. Die Zahnkrone sitzt wie ein Helm über dem verbleibenden Zahn und sieht aus wie ein natürlicher Zahn – aus Vollkeramik, abgestimmt auf Farbe und Form der Nachbarzähne.

Zahnbrücke

Fehlt ein oder mehrere Zähne, können die Nachbarzähne als Pfeiler für eine Zahnbrücke dienen. Fest, stabil, ästhetisch. Alternativ empfehlen wir implantatgetragene Brücken, die die Nachbarzähne schonen.

Veneers

Hauchdünne Keramikschalen, die auf die Vorderfläche der Zähne geklebt werden. Veneers eignen sich für Verfärbungen, Formkorrekturen oder ein gleichmäßigeres Lächeln – minimal invasiv, maximal Wirkung. Ein Veneer verändert das Erscheinungsbild eines Zahns, ohne ihn stark zu beschleifen.

Inlays & Onlays

Wenn eine Füllung nicht mehr ausreicht, aber eine Krone noch nicht nötig ist. Inlays und Onlays aus Keramik sind stabiler als Kunststofffüllungen und sehen natürlicher aus.

Implantatprothetik

Kronen, Brücken und Vollversorgungen auf Implantaten. Dr. Barbara Vogtner arbeitet direkt mit Dr. Andreas Vogtner zusammen, damit Chirurgie und Prothetik perfekt aufeinander abgestimmt sind.

3D-gedruckte Provisorien

Direkt aus unserem Labor. Sie können Form und Farbe testen, bevor die endgültige Versorgung gefertigt wird. Kein Risiko, kein böses Erwachen.

3D-Labor Dr. Vogtner

Unser Vorteil

Gefertigt in unserem
eigenen Labor.

Die meisten Praxen schicken ihre Aufträge an externe Labore. Das bedeutet Wartezeiten, Kommunikationsverluste, und manchmal Ergebnisse, die nicht ganz passen.

Wir haben unser eigenes 3D-Drucklabor in der Praxis. Dr. Barbara Vogtner designt jeden Zahnersatz selbst am Computer, druckt ihn, kontrolliert ihn. Wenn etwas nicht stimmt, wird es sofort angepasst.

Das Ergebnis: Schnellere Lieferzeiten, weniger Termine, und ein Ergebnis, das genau so ist, wie es sein soll.

Häufige Fragen

Was Patienten uns am häufigsten fragen.

Was ist der Unterschied zwischen einer Zahnkrone und einem Veneer? +

Eine Zahnkrone überkront den gesamten Zahn – sie ist die richtige Wahl, wenn ein Zahn stark beschädigt ist. Ein Veneer ist eine hauchdünne Keramikschale, die nur auf die Vorderfläche des Zahns geklebt wird. Veneers sind minimal invasiv und eignen sich vor allem für ästhetische Korrekturen: Verfärbungen, unregelmäßige Formen oder ein gleichmäßigeres Lächeln.

Wann ist eine Zahnbrücke sinnvoll, wann lieber ein Implantat? +

Eine Zahnbrücke ist schnell und bewährt – sie nutzt die Nachbarzähne als Pfeiler. Nachteil: die Nachbarzähne müssen beschliffen werden. Ein Implantat schont die Nachbarzähne und erhält den Kieferknochen. Welche Lösung besser passt, hängt von Knochenangebot, Allgemeingesundheit und persönlichen Wünschen ab. Wir besprechen das ehrlich mit Ihnen – ohne Druck.

Kann ich das Ergebnis vor der endgültigen Versorgung testen? +

Ja – das ist ein zentraler Teil unseres Workflows. Wir fertigen 3D-gedruckte Provisorien direkt in unserem Labor. Sie tragen das Provisorium über mehrere Wochen, können Farbe, Form und Funktion im Alltag testen – und erst wenn alles stimmt, wird die endgültige Versorgung gefertigt.

Was kostet Zahnersatz bei Dr. Barbara Vogtner? +

Das hängt vom Umfang der Versorgung ab. Eine einzelne Zahnkrone aus Vollkeramik liegt je nach Aufwand zwischen 900 und 1.500 Euro. Veneers beginnen ab ca. 800 Euro pro Zahn. Für komplexe Fälle erstellen wir immer einen detaillierten Heil- und Kostenplan – transparent, bevor wir beginnen.

Lassen Sie uns über Ihre Wünsche sprechen.

Ob Zahnkrone, Veneer, Zahnbrücke oder kompletter Zahnersatz. Wir beraten Sie ehrlich und zeigen Ihnen, was möglich ist.